Dantų protezavimo darbai | Prieš ir po rezultatai – Maxdenta
MŪSŲ SPECIALISTŲ DARBŲ GALERIJA
Realūs Max-denta klinikos pacientų rezultatai: protezavimas, implantacija, estetinės restauracijos, balinimas. Tikros prieš ir po nuotraukos.
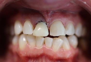
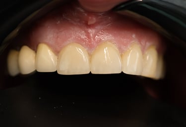
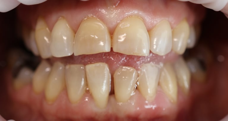
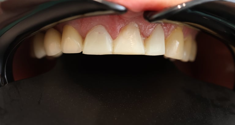
INDIVIDUALIAI SLUOKSNIUOTAS CIRKONIO OKSIDO VAINIKĖLIS
Pacientei buvo atlikta profesionali burnos higienos procedūra bei visų dantų ofisinis dantų balinimas su BEYOND balinimo sistema. Aliktas vienuolikto danties protezavimas su individualiai sluoksniuota cirkonio oksido keramikos karūnėle.
Viso kaina - 800 eur
Gydymo trukmė - 4 savaitės
Specialistas - gyd. odontologė Daiva Petronienė


CIRKONIO OKSIDO MONOLITINIS VAINIKĖLIS ANT IMPLANTO
Pacientei buvo atlikta 46 danties implantacija su kaulo bloko augmentacija. Įsriegtas OSSTEM TSI implantas + gyjimo galvutė. Protezuota cirkonio oksido monolitine karūnėle.
Viso kaina - 1420 eur
Gydymo trukmė - 5 mėnesiai
Specialistas - gyd. odontologė Elija Širviskaitė




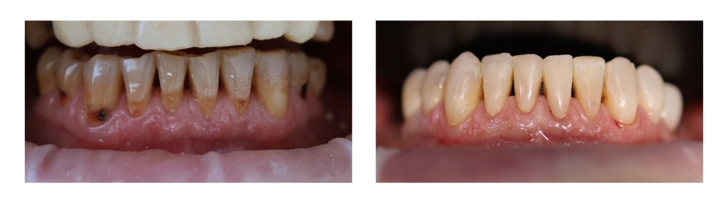
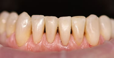
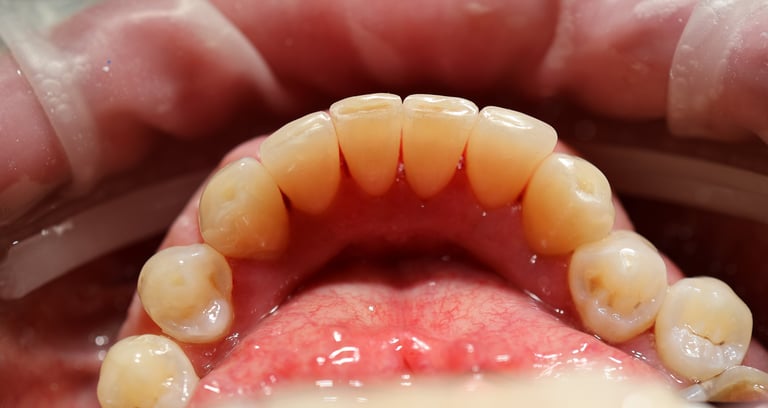
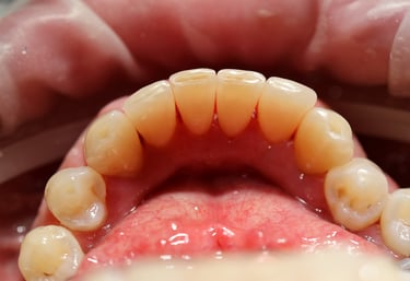
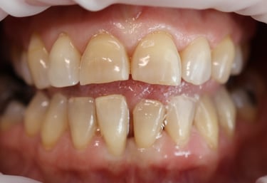
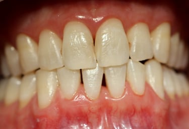
INDIVIDUALIAI SLUOKSNIUOTI CIRKONIO OKSIDO VAINIKĖLIAI
Pacientui buvo aliktas penkių dantų protezavimas individualiai sluoksniuotomis cirkonio oksido karūnėlėmis. Protezavimo laikotarpiu pacientui buvo pagaminti laikini vainikėliai.
Viso kaina - 2200 eur
Gydymo trukmė - 2 savaitės
Specialistas - gyd. odontologė Daiva Petronienė


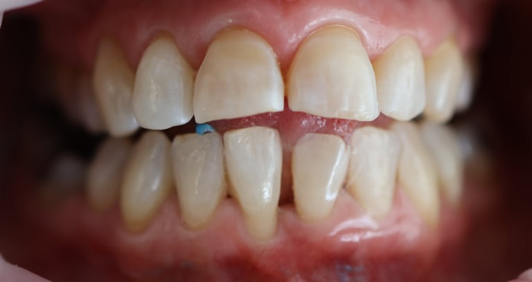
EMAX BEMETALĖS KERAMIKOS VAINIKĖLIAI
Pacientei buvo aliktas trijų dantų protezavimas individualiai sluoksniuotomis EMAX bemetalės keramikos karūnėlėmis. Protezavimo laikotarpiu pacientei buvo pagaminti laikini vainikėliai.
Viso kaina - 2550 eur
Gydymo trukmė - 2 savaitės
Specialistas - gyd. odontologė Daiva Petronienė


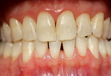
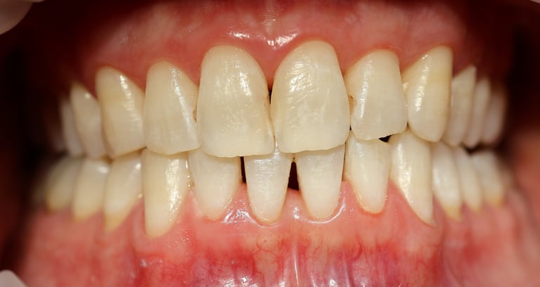
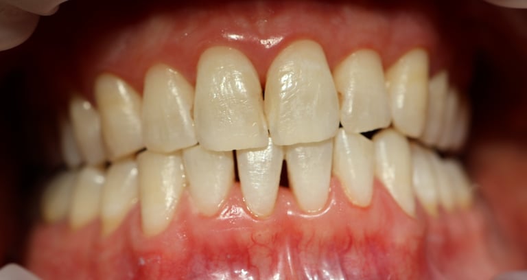
OFISINIS VISŲ DANTŲ BALINIMAS SU BEYOND
Pacientui buvo alikta profesionali burnos higiena bei ofisinis visų dantų balinimas su BEYOND sistema.
Viso kaina - 310 eur
Gydymo trukmė - 2 dienos
Specialistas - burnos higienistė Justina Šerpytytė


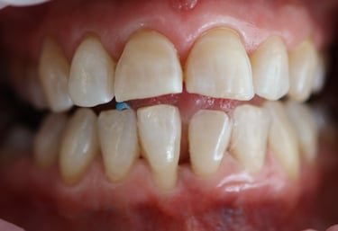
ESTETINIS PRIEKINIŲ DANTŲ PLOMBAVIMAS IR DANTŲ BALINIMAS SU BEYOND
Pacientei buvo alikta profesionali burnos higiena bei ofisinis visų dantų balinimas su BEYOND sistema. Po pusės metų atliktas priekinių dantų estetinis plombavimas
Viso kaina - 910 eur
Gydymo trukmė - 6mėn
Specialistas - burnos higienistė Rūta Petronytė
gydytoja odontologė Elija Širvinskaitė


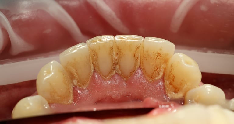
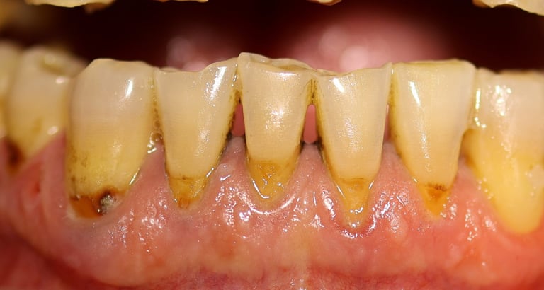
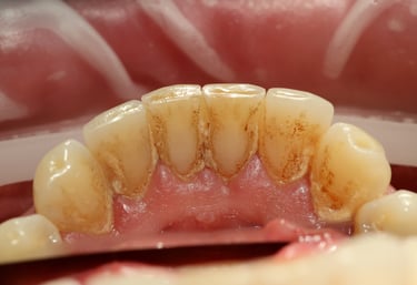
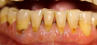
PROFESIONALI BURNOS HIGIENOS PROCEDŪRA
Pacientui buvo alikta profesionali burnos higienos procedūra.
Viso kaina - 70 eur
Gydymo trukmė - 1 valanda
Specialistas - burnos higienistė Justina Šerpytytė


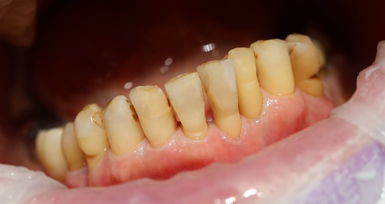
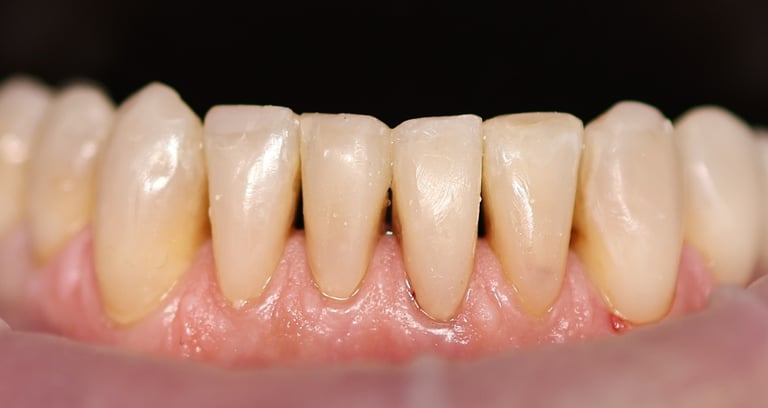
ESTETINIS PRIEKINIŲ DANTŲ PLOMBAVIMAS
Pacientui buvo aliktaS estetinis apatinių priekinių dantų plombavimas.
Viso kaina - 1200 eur
Gydymo trukmė - 10 valandų
Specialistas - Gydytoja odontologė Elija Širvinskaitė


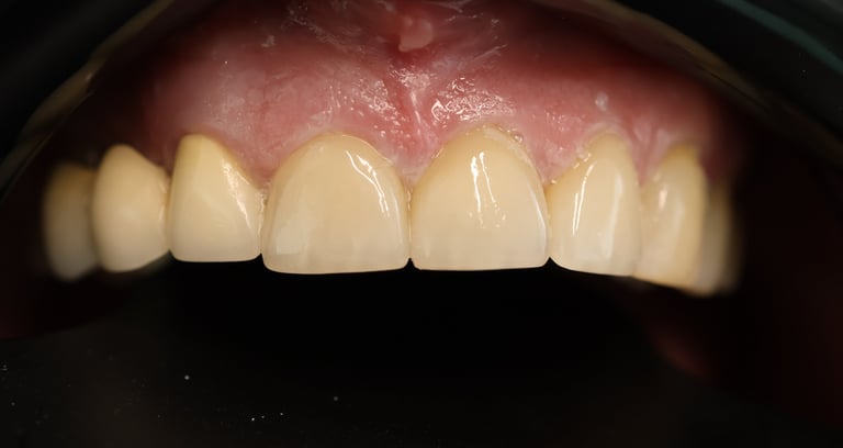
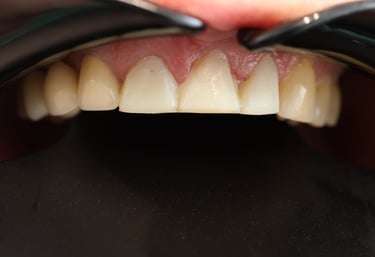
PRIEKINIŲ DANTŲ PROTEZAVIMAS INDIVIDUALIAI SLUOKSNIUOTAIS CIRKONIO OKSIDO KERAMIKOS VAINIKĖLIAIS
Pacientui buvo aliktas keturių priekinių dantų protezaviomas individualiai slokniuotais crkonio oksido keramikos vainikėliais.
Viso kaina - 1600 eur
Gydymo trukmė - 2 savaitės
Specialistas - Gydytoja odontologė Daiva Petronienė


PRIEKINIŲ DANTŲ KARIESO GYDYMAS ESTETINĖMIS RESTAURACIJOMIS
Pacientui buvo aliktas septynių viršutinių priekinių dantų gydymas ir plombavimas estetinėmis kompozitinėmis restauracijomis.
Viso kaina - 750 eur
Gydymo trukmė - 2 dienos
Specialistas - Gydytoja odontologė Elija Širvinskaitė


